金曲歌王4歲兒「誤吞硬幣卡喉嚨」緊急送醫 送手術室「搶救8小時」最新狀況曝光

金曲客語歌王羅文裕過去曾參加過五燈獎,在獲得金曲後聲名大噪。事業有所起色外,也於2015年和妻子結婚,育有7歲女兒「小鹿」、4歲兒子「仔仔」,一家人至今過得相當幸福。不過,昨(29)日他突然在臉書發文,表示兒子在週末午睡時,喉嚨竟卡了一個「異物」,到大醫院治療長達8小時,讓他十分擔憂。

圖片來源:羅文裕 臉書
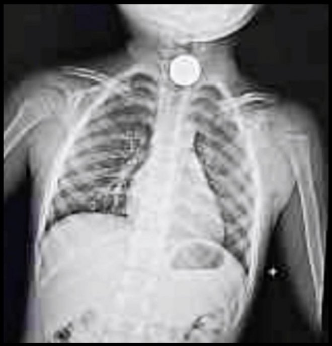
羅文裕表示,兒子在午睡30分鐘後,突然放聲大哭,同時大喊,「有錢錢卡在喉嚨,很痛」。他馬上伸出手指到喉嚨內尋找,同時拍背安撫,但一直沒有找到異物。奇怪的是,兒子仍相當痛苦,焦急的他立刻將孩子送到急診室檢查。當時,兒子疑似因為過於緊張,在院內吐了一地,但也沒有找到他口中的「錢錢」,認為應該已經脫離險境,但為求保險仍拍攝X光片確認。

圖片來源:羅文裕 臉書
未料,檢查結果出爐後,發現兒子食道處真的有一塊5元硬幣,讓他大驚失色,連忙幫孩子轉至大醫院求診。醫師確認無誤後,表示要進行全身麻醉,使用專業儀器取出,「中間抽血、內視鏡檢查這些哀嚎、爹娘心疼落淚的過程在此就快轉帶過」。終於,在8小時的處理後,硬幣才被順利取出,結束一場虛驚。

圖片來源:羅文裕 臉書
羅文裕事後也檢討,想起兒子曾說過要吃奶嘴,疑似就是那時含著硬幣睡著,醒來後卻不慎吞入。他感嘆說道,所幸此次只是小小硬幣,若是吞下電池、轉移入呼吸道,恐傷及孩子性命。這次意外也讓他學到不少,「不要以為孩子都知道,原來還有很多危險的事還是要持續提醒與教導」,建議育有幼童的家長應將硬幣、電池、鈕扣、珠子等物品,放在孩子不易拿取的地方,能有效避免這類問題發生。

圖片來源:羅文裕 臉書
還好小孩子沒事,家長真的要好好注意呀!
資料來源:娛樂星聞





© yeahpo.com 2026   |   Privacy Policy